最近更新:2016年1月23日
原始刊出日:2012年3月9日
作者:獸醫琳.湯姆森(Lym Thomson, BVScDipHom)(BVSc= Bachelor of Veterinary Science獸醫學士,英國學制縮寫)
原文出處連結:http://feline-nutrition.org/health/feline-inflammatory-bowel-disease-nature-and-treatment
譯註:台灣也有一些獸醫寫了有關IBD的文章,大家可以自行上網找來閱讀參考。翻譯這篇文是因為文中提到可以修復腸壁的修復餐,聽起來還蠻有邏輯的,所以翻出來給大家參考。
炎症性腸病(IBD)指的是一群疾病,是貓長期嘔吐和腹瀉最主要的原因。人類尚不瞭解IBD腸道病理現象,認為是無法控制的腸內發炎所引起,造成發炎的是許多不確切的因素,包括飲食、腸道菌叢以及免疫系統失調。
人類的IBD成因所做的主要假設性判斷,認為是腸道菌叢以及/或者食物中誘發免疫反應的物質,所引起的粘膜免疫反應。相同的不正常免疫反應,來自於食物中誘發免疫反應的物質,也常被懷疑是貓罹患IBD的原因。近來的研究主要是針對如何對此疾病的免疫病因,做出比較確切的定義。

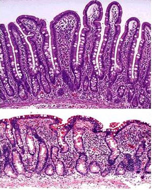
Top: normal mucosa of the duodenum, featuring healthy villi and intact surface enterocytes.
Lower: flattened mucosal surface with the absence of villi and surface enterocyte injury.
上圖:正常的十二指腸粘膜,有健康的手指狀絨毛和完整的腸上皮細胞表面。
下圖:被壓平的粘膜表面,絨毛不復存在,腸上皮細胞表面受損。
消化過的食物被吸收是在小腸內進行,主要是小腸的前兩個部位,十二指腸和空腸。這兩個部位的腸壁是手指狀的突出物,被稱之為絨毛,絨毛之間有腸腺。這些絨毛佈滿腸上皮細胞,主要工作是吸收養分,然後把養分送入血管,滋養身體,因此這些細胞的重要性自是不言而喻。這些細胞誕生於絨毛的基底處,也就是腸腺,然後前進到絨毛的頂端之後脫落,短暫的生命週期就是保持如此的循環,而且十分認真的工作著。
IBD貓腸子的改變,包括明顯的腸結構變化。絨毛形狀改變,變腫變鈍,彼此交纏在一起,吸收養分的表面面積減少。炎性細胞浸潤充滿腸腺,腸壁被壓平。佈滿絨毛的細胞,也就是重要的腸上皮細胞,無法適當的運作。腸道黏膜的健全被破壞,結果是來自腸腔的有毒物質的滲透性和細菌移位都提高了。
這些損壞造成長期的嘔吐和腹瀉,因為腸子消化食物的能力受損。
確診IBD
要確診IBD需要先排除造成腸胃道發炎的可能原因,包括腸內寄生蟲、小腸細菌增生、細菌性腸炎、食物不耐和細胞異常增生(=瘤)。
IBD的三個主要症狀:
- 長期的腸胃道疾病
- 來自病理組織的證據顯示腸道慢性發炎,腸結構改變
- 排除任何已知病因
臨床上要定義IBD的嚴重程度,以及預後狀況,有一套計分系統,稱為貓慢性腸病活力指標(註3)。計分是根據貓的行為和活力程度;胃口,從正常到嚴重的沒有胃口;
嘔吐的頻率,從每週零次到三次以上;糞便狀況,從正常到腹瀉到血便以及粘液;體重減輕的程度,從零到大於百分之十;內視鏡所能觀察到的損壞程度,以及總蛋白質指標。在衡量貓對食物改變後的反應,以及治療方式,這一套指標是有幫助的。
病理組織的證據,通常是貓的腸組織切片採樣。以病理組織切片為診斷根據不容易確診,尤其是貓,因為探樣固定的部位,要區別淋巴肉瘤和IBD也許並非不可能,但是有難度(註4)。但是就貓而言,IBD和淋巴瘤帶來的後果,兩者之間的差異可能不大(註5)。長期的IBD可能造成腸淋巴瘤。因為慢性發炎的部位好發腫瘤,在貓身上是已知的事實(註6)。
腸道菌叢
消化系統存在的目的是消化以及吸收食物。沒有健康的腸道菌叢,消化系統無法發揮完全的功能。消化道結構的健全、運作能力、調適、再生和保護自身的能力,都需直接仰賴腸道菌叢。粘膜菌叢的濃度和成分,和貓腸道發炎以及嚴重程度有關,這是一個已知的事實,表示粘膜細菌和IBD的成因以及發展之間是有關聯的(註7)。
根據推測IBD可能是一種對特定病原產生的多變反應,或是對正常管腔(=管狀器官內的腔室)的微生物所產生的不適當過度免疫反應。強力的細菌層覆蓋住整條消化道,提供自然的屏障以對付侵入者、未消化的食物、毒素和寄生蟲。這些原生細菌製造出類似抗生素的物質、抗真菌揮發物和抗病毒物質,而且促使免疫系統對侵入者做出恰當的反應。缺乏運作良好的腸道菌叢,腸壁沒有得到保護而營養不良。正常的腸道菌叢提供熱量和養分給消化道的細胞(註8)。
大家越來越清楚的知道,食物對腸道菌叢產生的影響,和健康以及疾病有關(註9)。有可能是某些食物和腸道菌叢產生互動,保護身體而沒有發展成IBD,但另一方面有些食物卻傾向於引起IBD。在控制IBD時,選擇好消化的食物是比較謹慎的作法。養分生物利用率資料在貓狗方面尤其缺乏。在貓身上最能被接受的決定養分生物利用率的方法,還沒有被健全的建立起來(註10)。
食物和IBD
以食物引起貓IBD的角度來看。對於貓的營養需求我們的知識還不夠完整,但是我們知道貓的獵物身體組織,含有貓所需要的豐富基本養分。大部分的家貓不再自己獵捕動物,而是吃商業貓食。這些食物有許多養分是來自植物,因為要提供貓全肉食物是相當昻貴的。所以一直以來的趨勢是採用許多蔬菜來製作貓食,並在其中補充營養品(註11)。
結果是多數的貓吃的是加工的貓食,品質差、常含有植物蛋白質、穀物、添加物和防腐劑,和貓真正需要吃的食物非常的不一樣。寵物食品製造商注意到許多貓有食物不耐和食物過敏,大部分是因為吃下品質差、食材不適合肉食動物的商業食品,因此這一批相同的製造商現在提供低敏食物的選項。低敏寵物食品之所以會出現,是因為多年來我們餵肉食動物的貓吃下的商業貓食中,有品質很差的蛋白質、穀物、加大食品分量的植物食材、有毒的添加物和防腐劑。受損的腸道讓蛋白質啟動過敏反應(註12)。製造商提出的行銷訴求是,蛋白質是食物不耐的罪魁禍首,尤其是完整的動物蛋白質。一時之間水解蛋白質蔚為風尚,因為水解蛋白質小到不會引起免疫反應。我們必須認知到問題其實是來自腸壁不健全。如果可以修復腸壁,無法接受完整動物蛋白質的狀況會消失;完整的動物蛋白質才是貓自然的食物。
有一個重點似乎被遺漏,那就是我們餵貓吃不適合肉食動物的食品,造成IBD,破壞腸壁健全。
我們沒有認知到貓是絕對肉食動物,餵他們吃下不適合的食品,破壞了貓的腸道。我們活在一個充斥著方便食品的時代。任何處理食物的過程,都會破壞食物的化學以及生物結構(註13)。處理食物的程序越多,養分就被剥奪的越多,結果是化學結構被改變。為了補救製造過程造成的口感、味道以及顏色的流失,許多不同的化學物質被加入寵物食品中,包括調味料、色素、各式各樣的添加物以及防腐劑。過度加工的食物改變了腸道菌叢,而且是負面的改變,因此破壞了腸道。大家越來越清楚的知道,食物對腸道菌叢產生的影響,和健康以及疾病有關(註14)。
餵你的貓適合肉食動物的食物,使用各種不同的蛋白質,而且是以容易消化的狀態呈現,即生肉,才是避免食物不耐和過敏的最好方式。
治療IBD-腸壁修復餐
就我個人的專業經驗,健康平衡的腸道菌叢和適合物種的生肉餐,可以保護以及滋養貓的身體。開始吃生肉之前先吃修復腸壁的食物,讓腸道菌叢恢復平衡,排除體內毒素。一旦腸道修復,就可以開始吃生肉,這才是IBD貓的最佳長期控制方式。
已經被確診IBD的貓可能已經開始服用類固醇,我建議劑量要隨著身體的改善而調整。先吃可以修復身體的食物,然後吃生肉,類固醇的劑量可以慢慢減少,許多貓甚至可以停用類固醇,當然要在獸醫的監督之下。
有嚴重消化問題的貓可能會出現腹瀉、腹部疼痛、脹氣和便秘。這些貓需要先吃腸壁修復餐,再轉吃生肉,這麼做可以快速的減少症狀,啟動消化系統的癒合程序。
如果不確定貓是IBD、食物不耐或是食物過敏,建議先吃腸壁修復餐,好讓腸壁得以癒合。食物不耐或是食物過敏之所以會發生,是因為腸滲漏,腸壁被不正常的微生物破壞(註15)。在食物被吸收,藉由受損的腸壁進入血管之前,食物沒有機會被適當的消化,造成免疫系統做出反應。想要找出何種食物引起反應不太可能。沒有完全消化的食物滲入血管時,身體可能會有立刻的反應,也有可能是幾天或甚至幾個禮拜以後才會出現反應。這些反應重疊出現,所以無法判斷到底是什麼食物引起貓反應。食物過敏原測試的不牢靠眾所皆知(註16)。只要腸壁被破壞,而且處於被破壞的狀態,要找出食物過敏原是一件疲於奔命,但卻徒勞無功的行為。
就我個人的臨床經驗,最好的做法是用修復餐修復腸壁。一旦腸壁癒合,食物在被吸收前可以被適當的消化,食物不耐和過敏就不會再發生。
肉或魚高湯的腸壁修復餐製作方法
肉和魚高湯提供腸壁細胞快速成長的基礎,而且對腸道中的任何發炎部位都有舒緩的效果。骨頭湯含有豐富的礦物質,包括鈣、磷、鎂、鈉、鉀、硫酸鹽、氟化物,全部都以容易消化的方式呈現。礦物質改善免疫功能,支援健康的消化。骨頭高湯含有豐富的膠原蛋白質。膠原蛋白質包含兩種重要的氨基酸,即脯氨酸和甘氨酸,幫助癒合腸壁,舒緩發炎。高湯中還含有葡萄胺聚糖,是修復身體組織的重要元素。
這就是為什麼幾百年來,高湯一直是舒緩消化不良的民間偏方,因為高湯可以幫助消化(註17)。不要使用市面現成的高湯粉或高湯塊,因為那是過度加工的產品,而且含有對身體不好的食材,例如味精。
一開始可以用雞高湯,因為對胃來說特別溫和。你需要使用到含有關節部位的肉,例如大腿或翅膀、骨頭、帶骨肉,或是全雞、全鵝或全鴨、整隻鴿子、雉雞,或其他不貴的肉類。如果可以,儘量使用自然放牧或是有機飼養的動物。使用骨頭和骨關節是很重要的,因為這些部位所提供的癒合礦物質和膠原蛋白質,比肉還要多。
如果你使用的是比較大塊的帶骨肉,請肉販把管狀部位的骨頭敲開,這樣煮熟後才能夠把當中的骨髓取出來。把骨頭、含關節的肉塊和肉放入一個大的鍋子中,加滿水。煮開後蓋上鍋蓋,用低溫小火煮二個半到三個小時。
也可以用同樣的方式煮魚高湯,用整條魚,或是使用魚鰭、魚骨和魚頭。
煮好後,取出骨頭和肉,或是魚,高湯過濾以移除小骨頭。儘量把骨頭上的軟組織剥下來,鼓勵病人(病貓)吃下去。剩下的部分留下來當三餐吃。要在管狀骨頭還有溫度時取下裏面的骨髓。可以拿骨頭敲木製砧板以取出骨髓。骨頭週圍膠狀的軟組織和骨髓,是癒合腸壁和免疫系統的最佳食材,是病人每餐都需要吃到的食物。
不管是肉高湯還是魚高湯,都可以在冰箱冷藏保存至少七天以上,冷凍保存也可。任何時間都可以餵貓喝溫溫的肉高湯。也可以在餐與餐之間給高湯,當水喝。
病貓吃下高湯中的所有脂肪很重要,因為在癒合的過程中脂肪是不可或缺的。
你還需要一開始就餵益生菌
發酵的食物中有天然的益生菌,例如反芻動物的胃。而人類的食物中,例如酸奶、酸白菜和優格,含有益生菌。益生菌提供腸道細菌健康的平衡,保護並滋養身體(註18)。益生菌確保腸子是第一道有效率的防禦線,以及消化可以有效率的進行。
我給貓用的是Bio-Kult®膠囊。北美可以買到的益生菌有Fortiflora®、Proviable®和 Benebac® Plus,以及許多比較小的品牌。一開始每天只要有一餐灑上一小撮,漸漸的提高到每一餐以及每一份高湯都加一小撮。為了避免引起不良反應,要用漸進的方式餵益生菌。開始餵之後,身體可能會出現關機的反應,也就是貓懶洋洋的,因為身體要開始清除已死的細菌,以及死細菌衍生而出的毒素。有點類似殘餘物/毒物過多的狀態。注意加益生菌時食物不要太熱,因為熱會殺死益生菌。
你可以逐漸的增加高湯中肉和軟組織的分量,直到腹瀉、脹氣、腹部疼痛和便秘消失為止。在大部分的貓身上,這些症狀都會很快的消失,大約一到二週,但嚴重的病例可能要幾個月才會改善。
接下來我會給貓吃好消化、符合物種的生肉餐。以我個人的實際執業經驗,一開始我們通常是先餵兔胸肉,然後餵含有肉、骨和內臟的兔肉泥。如果貓的身體可以接受兔胸肉和肉泥,我會開始訓練貓啃帶骨肉塊,例如兔肩,越早訓練越好。固定的餵貓不同的生肉。每一個禮拜可以給一種新肉,觀察有沒有任何復發的臨床症狀。
健康改善的關鍵
重點是貓的腸道要有健康的粘膜菌叢,以及餵貓吃符合物種的食物。強化這兩個因素才能給貓最好的機會,修復發炎的腸道。所以腸壁修復餐以及修復腸道菌叢,是幫助IBD貓的兩個關鍵作法。
腸道功能和身體其他功能之間有絕對的關聯(註19)。當食物沒有被良好的消化和吸收,貓的身體會承受多重的營養不良。發炎的腸道變成有毒物質的製造源,不再是營養來源。治療腸道使其不再滲漏,是健康得以改善的關鍵。吃下符合物種的食物時,腸道才會有良好的修復能力。
本文作者Dr. Lyn Thomson畢業於英國的布里斯托大學(University of Bristol)目前在澳亞大學(Australasian College)研讀營養與環境醫學(Nutritional and Environmental Medicine)。在符合物種的營養學方面,她是一位經驗豐富的提倡者。她目前在紐西蘭的奧克蘭執業,同時也經營Raw Essential生食商店,目前已經有八個零售點,提供貓狗各式各樣的生食選擇。
本文譯者謝凱特,譯有「你的貓」一書。東吳大學英文系畢業。養貓三十年。大約2011年開始餵生食。興趣是讀英文小說和貓生食相關知識。
PS:這篇文章在新浪部落格的原始刊出日大約是2016年11月
PS:想看文章中的註請點原文連結
譯者補充:
在網路上找IBD的資料時,看到貓友分享照顧IBD貓的經驗。貓友說生病的貓更怕細菌,所以不要餵生肉。其實不管生什麼病,我都看過相同的說法。大家都覺得這聽起來理所當然,但我卻覺得怪透了,畢竟我是個生食魔人。生病的貓不是更應該吃真正符合身體需要的食物嗎?而對肉食動物的貓而言,最符合身體需要的食物不就是生肉嗎?
餵乾飼料又方便又便宜,幹嘛大費周章的餵生肉?吃飽了撐著沒事做?我所翻譯的食譜中,Anne 和 Pierson 這兩位食譜作者都是因為家中有長期腹瀉的IBD貓而走上吃生肉這條路的,她們兩人都和貓的長期腹瀉奮戰多年,試過無數種的食物,直到餵生肉才拉出成型的大便。我想在一開始面對腹瀉這個問題時,她們應該也是害怕生肉的,心想都在拉肚子了,還要吃可怕的充滿細菌的生肉嗎?在幾年徒勞無功的努力之後,那來試試可怕的生肉好了,結果貓的大便竟然就正常了。可怕的生肉讓幾年的軟便一夜之間變成正常的大便,你說生肉可不可怕?真的是太可怕了。
[…] 貓的炎症性腸病(IBD):疾病本質以及治療方式 – 非比樂事 (fabulou.net) […]
讚讚
[…] 貓的炎症性腸病(IBD):疾病本質以及治療方式 – 非比樂事 (fabulou.net) […]
讚讚